Expressreforma
Renovación
Toledo, 7, 28804 Alcalá de Henares+34918826401 (Teléfono)
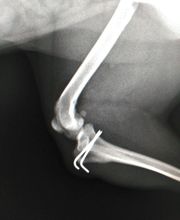
Clínica Veterinaria del Val es un centro avanzado que dispone de los más completos sistemas de tratamiento para tus mascotas. Contamos con un quirófano completamente equipado con monitor cardíaco, presión sanguínea, capnógrafo, dos aparatos de anestesia inhalatoria, endoscopio, ecógrafo, equipo de radiografías y revelado digital, laboratorio propio, hospitalización diurna y equipos de rehabilitación. Somos especialistas en cardiología, oncología, reproducción y obstetricia, cirugía, animales exóticos, rehabilitación y fisioterapia, traumatología y dermatología. Además, disponemos de distintas versiones de plan salud según la especie y su etapa de vida. Ponte en contacto ahora con nosotros e infórmate. ¡Te esperamos!










Calle Toledo 10, 28804 Madrid
Renovación
Toledo, 7, 28804 Alcalá de HenaresCentro comercial
Calle Menorca, 5, 28804 Alcalá de Henares